Case Study – Immediate Zirconia Implants

 
Pre-Treatment

 
 

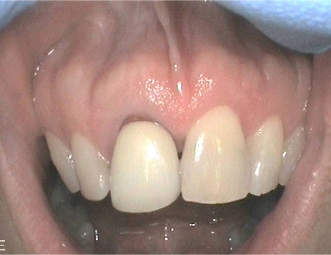
Immediate Front Tooth Replacement With Ceramic Implant And Crown

This patient had many systemic health improvements when having another root-filled infected tooth removed and when he started getting problems with the front tooth decided to have it removed and an immediate all-ceramic zirconia dioxide Z-Systems implant placed. 6 months after placement the new crown looks amazing. Which tooth is false?

Same Day Zirconia Implants
Same Day Zirconia Implants
Same Day Zirconia Implant

Contact Us Today

We would love to hear from you.

Our mission is simple: we want to help you create a safer, healthy, beautiful smile.

Please call (07) 3511 1399 to reach our reception team who will do their best to address your concerns, answer your questions and book a convenient appointment. Alternatively, request your appointment online or send us a message and we'll get back to you as soon as possible.

14 + 6 =